• Mon To Sat 10:00 AM to 7:00 PM

Clear Teeth Aligners Before and After: Real Smile Changes

Get the treatment from the best in the city

    Clear Teeth Aligners Before and After: Real Smile Changes

    The process of getting perfect teeth has evolved into a modern procedure that uses clear teeth aligners instead of traditional metal braces. Today, people want an orthodontic treatment that allows them to maintain their active schedules and, at the same time, avoid the visibility of traditional metal braces. The clear aligners use medical-grade transparent polymers to create an almost invisible path that leads to better dental alignment and an enhanced facial look.

    What are Clear Teeth Aligners?

    Clear teeth aligners are custom-made, transparent plastic trays that dentists design to create an exact fit on patients’ dental arches. Clear teeth aligners do not require brackets and wires. Instead, they are specially designed according to each patient, to shift their teeth into their ideal positions. The patient needs to wear each dental set for one to two weeks before proceeding to the next set in the sequence.

    Difference in Teeth Before and After Clear Teeth Aligners

    The visual shift from “before” to “after” is the most compelling part of the journey. Here is how the best dental clinic in Ahmedabad uses clear aligners to correct specific dental issues:

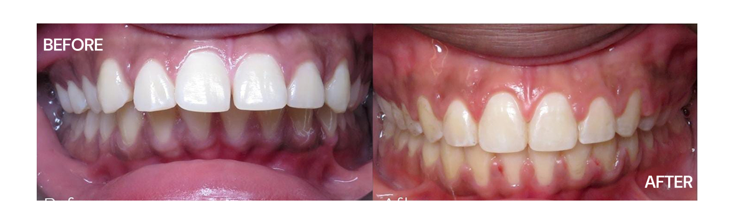
    Tooth Alignment – Before and After

    Tooth Alignment - Before and After

    Before treatment, teeth show both rotational and tilting issues. After treatment, the dental arch shows three-dimensional symmetry that creates proportional facial proportions. The “after” results showcase teeth that align perfectly with the midline of the face.

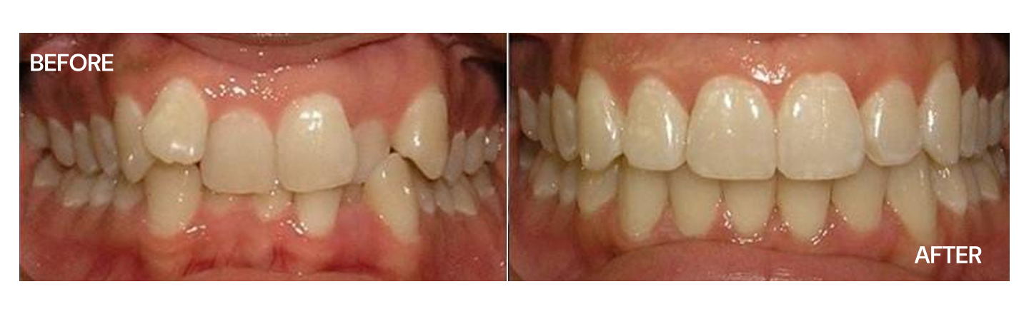
    Spacing – Before and After

    Spacing - Before and After

    Gaps between teeth (diastema) create two problems for people. First, it affects the confidence of a person suffering from a diastema. And second, food particles get stuck in the gap. Invisalign aligners gently bring the distant teeth together to close the gap and give patients a beautiful, continuous smile.

    Teeth Crowding – Before and After

    Teeth Crowding - Before and After

    Teeth crowding occurs because the jaw lacks sufficient space to accommodate all of its teeth. This condition results in teeth that overlap or grow in different directions. Clear aligners help to expand the arch or move a specific tooth to align it, resulting in a straight, easy-to-floss smile.

    Bite Correction – Before and After

    Bite Correction - Before and After

    A good set of teeth isn’t just about looks; it’s also about how they function. Biting issues can cause chewing difficulties and long-term jaw pain. Clear teeth aligners expertly resolve these issues by correcting overbites, crossbites and open bites, ensuring a balanced, high-functioning, and durable dental structure.

    Here is how aligners can help to fix bite issues.

    • Overjet or Overbite Correction: Aligners can pull back protruding upper teeth or adjust how the upper and lower sets overlap.
    • Crossbite Correction: Crossbite occurs when the teeth are placed on the “wrong side” with respect to their counterparts. Invisalign aligner, which is a type of standard clear aligner, can fix this problem, preventing tooth wear and jaw pain.
    • Open Bite Correction: The aligners enable upper and lower teeth to touch each other, which improves both chewing and speaking abilities.

    Looks and Confidence

    The psychological effect after getting the perfect set of teeth with the help of Invisalign also has its own significance. Patients report a substantial increase in self-confidence, which leads them to smile more in photographs and become more self-assured during professional and social interactions.

    Also read our detailed blog on: How Do Clear Teeth Aligners Straighten Your Teeth Effectively?

    Benefits of Clear Teeth Aligners

    Why are people searching for the best dental clinic near me, specifically for aligners? Because they have numerous advantages over traditional metal braces.

    • Invisible Appearance: The primary benefit is that clear teeth aligners are virtually unnoticeable. People can use this method to align their teeth while maintaining their concealed appearance.
    • Comfortable and Causes Less Pain: Aligners provide comfort because it does not have metal wires, which could injure your soft tissues. The smooth plastic is also much kinder to your soft tissues.
    • Removable and Support Oral Hygiene: The device supports oral hygiene because you can remove it to brush and floss your teeth. The treatment process becomes safer because it significantly reduces the risk of teeth staining or plaque buildup.
    • No Restrictions Over Food and Lifestyle: Patients can eat whatever they want because they have no dietary restrictions. If you want to eat a crisp apple or popcorn, you can just remove the trays. There are no “forbidden foods.”
    • Fewer Visits to Your Dentist: Invisalign requires fewer dental appointments because it needs fewer check-ups than metal braces, which need more frequent adjustment sessions. So when you search for Invisalign treatment near me, make sure you choose the dentist who promises you fewer check-up calls.
    • Predictable and Faster Results: The advanced 3D mapping system enables your dentist to create a digital version of your finished smile, which they will show you before starting your dental treatment.

    Contact us - Dental Wellness Centre

    How Clear Teeth Aligners Correct Dental Issues

    The process of transforming a crooked set of teeth into a perfectly aligned, beautiful smile combines elements from both biological science and digital engineering. The process operates through these steps:

    • Digital Precision: The procedure starts with a 3D scan that provides high-definition dental imaging, which enables advanced software to determine the precise force needed for each tooth movement.
    • Incremental Progress: You receive a series of custom trays, each slightly different from the last. Each custom tray is engineered to exert precise pressure, to move the targeted teeth within a range of 0.25mm to 0.33mm.
    • Structural Support: Aligners reshape the bone structure, which creates solid support to maintain the tooth’s newly straightened position, resulting in long-lasting results.

    Best Dental Clinic in Ahmedabad for Invisalign

    The Dental Wellness Centre serves as the best dental clinic in Ahmedabad because it provides exceptional orthodontic treatment. Dr. Vishal Patel and Dr. Mable Patel lead this clinic, which holds the title of the most active Invisalign treatment center in Gujarat. The Diamond Invisalign Providers use their clinical expertise to develop dental solutions that prioritize patient needs, which transform the dental experience for patients in their service area.

    The clinic’s reputation as the top choice for Invisalign treatment near me is backed by its investment in cutting-edge digital infrastructure. The Dental Wellness Centre demonstrates future dentistry through its dental procedures, which combine accurate methods with comfortable patient experiences.

    Conclusion

    The process of transforming a smile from its initial state to its final state creates more than a surface-level transformation because it establishes a fundamental commitment to your future dental well-being. Patients with dental crowding, gaps or bite problems can use Invisalign Aligners because they provide a hidden and comfortable treatment method that delivers excellent results.

    If you’re ready to start your transformation with clear teeth aligners, your first step is a consultation to see the 3D plan of your future smile.

    FAQs:

    1. How long does it take to see results with clear teeth aligners?

    Ans: Most users notice visible changes within 3-4 weeks. Complete treatment with clear teeth aligners typically takes 6-18 months, depending on alignment complexity and consistent wear.

    2. Do clear teeth aligners really work as well as braces?

    Ans: Yes, clear teeth aligners effectively treat mild to moderate misalignment, gaps, and crowding. They deliver comparable results to traditional braces for most cases, with added comfort and aesthetics.

    3. Can clear teeth aligners fix severe overcrowding or bite issues?

    Ans: Clear teeth aligners work best for mild to moderate cases. Severe overcrowding, significant bite problems, or complex rotations may require traditional braces or combined orthodontic treatment approaches.

    Dr. Vishal Patel

    Author

    Dr. Vishal Patel (Orthodontics & Dentofacial Orthopaedics)

    Dr. Vishal Patel is an experienced Orthodontist and invisalign expert at The Dental Wellness Centre in Ahmedabad. He’s committed to delivering precise, patient-focused dental care.

    Related News, Tips & Guides