Mon To Sat 10:00 AM to 7:00 PM
When we go to the office every day, we carry on a time-honored tradition of getting to know our clients.
Fluoride application helps strengthen tooth enamel and prevent tooth decay in children.
This preventive treatment is applied topically to the teeth during routine dental visits, providing additional protection against cavities and promoting lifelong oral health.
The application of fluoride is particularly prominent in dentistry due to its ability to enhance the remineralization process of teeth, as well as its role in preventing tooth decay. In this regard, fluoride has been a key player in the prevention of dental caries, which is one of the most common chronic diseases worldwide.
Fluoride's primary role in oral health revolves around its ability to prevent cavities (dental caries) and reduce tooth decay. It achieves this through several mechanisms
Fluoride enhances the remineralization of tooth enamel, the outermost layer of the tooth. When teeth are exposed to acidic conditions (often caused by bacterial activity in the mouth), minerals like calcium and phosphate are leached out of the enamel, resulting in demineralization. Fluoride helps to reintroduce these minerals, thereby strengthening the enamel and making it more resistant to future acid attacks.
Fluoride inhibits the ability of oral bacteria to produce acids, which are a primary cause of enamel breakdown. By reducing the production of acid, fluoride helps to maintain a healthier oral environment.
Fluoride also has direct antimicrobial effects, slowing down the growth and metabolism of bacteria that contribute to tooth decay, particularly Streptococcus mutans.
There are several ways in which fluoride can be applied to the teeth, each designed to maximize its effectiveness in preventing tooth decay. These methods include
At The Dental Wellness Centre Kids Dental care includes Topical fluoride treatments applied directly to the teeth in the form of gels, varnishes, or foams. These treatments are typically performed at dental clinics or during regular check-ups. The fluoride is applied to the teeth for a short period, allowing it to be absorbed by the enamel.
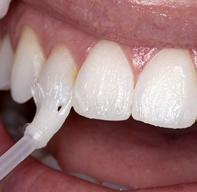
A sticky, fast-drying substance that is painted onto the teeth, fluoride varnish is one of the most effective methods of delivering fluoride directly to the enamel. The varnish is often used for children at high risk for cavities.
These are applied to the teeth with trays that are worn in the mouth for several minutes. They contain higher concentrations of fluoride than toothpaste, providing more potent protection against decay.
Fluoride toothpaste is one of the most commonly used fluoride applications for preventing tooth decay. Regular brushing with fluoride toothpaste helps to remove food particles and plaque while providing a constant source of fluoride to the teeth. Fluoride toothpaste typically contains between 1,000 and 1,500 ppm of fluoride, which is sufficient to offer protection against dental caries with regular use.
Fluoride mouth rinses are available for individuals who require additional fluoride protection. These products are typically used after brushing and are particularly helpful for people who have an increased risk of tooth decay due to factors such as dry mouth or frequent sugar consumption. They can provide added protection to areas of the mouth that are harder to reach with a toothbrush
He ventured into Clear Aligners due to his avid interest in Digital Technology and is now a Top Invisalign Provider in Gujarat.
Dr Mable is an Orthodontist with experience of over a decade, she is specialized in the field of Orthodontics (Braces), Invisalign (Clear Aligners) and Dental Implants.
Best Results
Painless Treatment
Result in time